Med info
Treating a Dental Abscess (With Pictures): Causes and Symptoms

If you’re dealing with a dental abscess and looking for effective treatment options, or you’ve seen pictures of dental abscesses and want to understand what they really mean, this article will give you clear, medically accurate information about dental abscess treatment.
A dental abscess is a pocket of pus that forms around the root of an infected tooth. It can affect anyone, from children to older adults. A dental abscess does not heal on its own and always requires treatment by a dentist. If left untreated, the infection can spread beyond the jaw to the neck, head, or even other parts of the body. In this article, we’ll review dental abscesses with images, along with their causes and symptoms.
Also read: Types of Fixed and Removable Dental Prostheses and How to Care for Them – The Complete 2022 Guide
Causes of a Dental Abscess
Although the outside of the tooth is hard, the inside contains the pulp, which is made up of nerves, connective tissue, and blood vessels. This inner tissue can become infected due to:
– Deep tooth decay (dental caries)
– Trauma or injury that cracks or breaks the tooth
– Previous dental work that has failed or allowed bacteria to enter
– Severe gum disease (periodontitis) that exposes the tooth root
If the infection is not treated in time, it can kill the pulp and lead to an abscess. The two most common types are:
– Periapical abscess: forms at the tip of the tooth root
– Periodontal abscess: forms in the gums next to a tooth root, often due to gum disease
More than one abscess can sometimes form, or a single abscess may spread through the bone and appear in different areas of the gums, but all remain linked to the same tooth.
The risk of these problems is higher if teeth are not brushed at least twice a day, or if the diet is high in sugar. Sugary foods and drinks help oral bacteria multiply, which can result in tooth decay and other dental issues.
Also read: How to Relieve Nerve Tooth Pain at Home – Best Remedies 2022
What Are the Symptoms of a Dental Abscess?
In many cases, the area around the affected tooth becomes painful. The pain is often sharp or throbbing, especially when biting down or applying pressure to the tooth. The pain may also radiate to the jaw or other parts of the face on the affected side. A person may also notice:
– Swelling in the gums or face
– Sensitivity to hot or cold
– Pain that worsens when lying down
– A bad taste in the mouth or bad breath
– Redness of the gums
– Tender or swollen lymph nodes under the jaw or in the neck
– Fever or a general feeling of being unwell
Sometimes the abscess appears as a pimple‑like bump on the gum. If this bump is pressed and fluid oozes out, and the pain suddenly lessens, it’s a strong sign of an abscess. That fluid is pus.
If someone develops facial swelling, fever, or has difficulty breathing or swallowing, they should seek urgent care. In Jeddah, they should go immediately to the dental center at Al Batal Specialized Complex for prompt treatment of the dental abscess and comprehensive care to prevent the infection from spreading to other parts of the body.

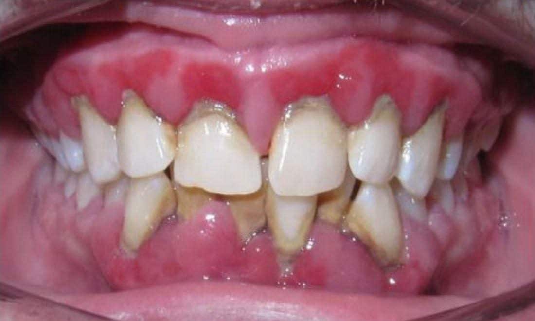
Dental abscess pictures
Also read: Pain in a Filled Tooth When Biting – What’s the Cause?
How Is a Dental Abscess Diagnosed?
A dental abscess will not go away on its own. You should see a dentist as soon as you notice any of the symptoms mentioned above. Treating a dental abscess promptly is critical, as the infection can spread to the jaw or to other parts of the head and neck. This is especially important for people with weakened immune systems due to medical conditions such as HIV/AIDS, or those taking medications (including some cancer treatments) that reduce the body’s ability to fight infection.
To determine whether you have a dental abscess, your dentist will likely:
– Take a detailed medical and dental history
– Examine your mouth, teeth, and gums
– Gently tap on the affected tooth to check for pain
– Assess for swelling, redness, or a gum boil (fistula)
– Order dental X‑rays to identify the source and extent of the infection
– In some cases, request additional imaging (such as a CT scan) to see if the infection has spread
If your general dentist cannot make a definitive diagnosis or if the case is complicated, you may be referred to a dental specialist, such as an endodontist (root canal specialist) or an oral and maxillofacial surgeon. They can confirm whether there is an abscess and provide the appropriate treatment.
Also read: When Does Pain Subside After Wisdom Tooth Extraction? Important Information 2022
How Is a Dental Abscess Treated?
The main goal of treatment is to eliminate the infection, relieve pain, and prevent complications. To achieve this, the dental professional may:
– Incise and drain the abscess:
Make a small cut in the swollen area to drain the pus, then clean and disinfect the site.
– Perform root canal treatment:
Remove the infected pulp from inside the tooth, clean and disinfect the root canals, then fill and seal them. A crown is often placed later to protect the tooth.
– Extract the tooth:
If the tooth cannot be saved because the damage or infection is too severe, the dentist may recommend removing it completely.
– Prescribe antibiotics:
Especially if the infection has spread, the patient has a fever, or has a weakened immune system. Antibiotics help control the spread of bacteria but do not replace the need for dental treatment.
– Recommend pain relief:
Over-the-counter painkillers (as appropriate for the patient’s health status) and cold compresses may be advised to help manage pain and swelling.
If the abscess bursts on its own, the pain may decrease temporarily, but professional dental treatment is still necessary. It is advisable to visit the dental center at Al Batal Specialized Complex in Jeddah for the expertise of its medical team, advanced technologies, and reasonable prices.
Also read: Dental Filling Prices in Jeddah and Types of Dental Fillings
Can a Dental Abscess Be Prevented?
You can greatly reduce your risk of developing a dental abscess by following these simple steps to keep your teeth and gums healthy:
– Brush your teeth at least twice a day with fluoride toothpaste
– Clean between your teeth daily with floss or interdental brushes
– Limit sugary foods and drinks, especially between meals
– Visit your dentist regularly for checkups and professional cleanings
– Treat tooth decay, cracked teeth, and gum disease early

– Follow your dentist’s instructions after any dental treatment
Also read: Cost and Benefits of Laser Teeth Whitening
Book an appointment at Batal Dental Clinic in Saudi Arabia



